גליובלסטומה רב-צורנית - Glioblastoma multiforme
הופניתם מהדף GBM לדף הנוכחי.
| גליובלסטומה רב-צורנית | ||
|---|---|---|
| Glioblastoma multiforme | ||
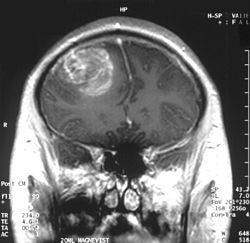
| 250px | ||
Coronal MRI with contrast of a glioblastoma WHO grade IV in a 15-year-old male.
| ||
| שמות נוספים | GBM | |
| ICD-10 | Chapter C 71. | |
| ICD-9 | 191 | |
| MeSH | D005909 | |
| יוצר הערך | ||
| אחראי הערך | מערכת ויקירפואה | |
לערכים נוספים הקשורים לנושא זה, ראו את דף הפירושים – גידול מוחי
מידי שנה מאובחנים בישראל כ-450 חולים חדשים עם גידולים ממאירים במערכת העצבים המרכזית. גידולי המוח הממאירים מסווגים בהתאם לתא המקור ולדרגת ממאירות הגידול, על פי שיטת הדירוג של ארגון הבריאות העולמי (WHO - World Health Organization). כ-80% מגידולים אלה הנם מסוג גליומה (Glioma), שמקורם בתאי הגליה - תאי המשתית של רקמת המוח. תאים אלה כוללים בעיקר תאי-כוכב (Astrocytes), אוליגודנדרוציטים (Oligodendrocytes) ותאי אפנדימה (Ependyma).
גליובלסטומה רב-צורנית (GBM - Glioblastoma multiforme) הינו הגידול בעל דרגת הממאירות הגבוהה ביותר, ומהווה כ-50% מכלל הגליומות. גידול זה יכול להתפתח מגידול בעל דרגת ממאירות נמוכה יותר, או להופיע כ-GBM ראשוני.
גידולי מערכת העצבים המרכזית יכולים להתבטא בדרכים שונות, כתלות במיקום וגודל הגידול וכמות הבצקת הנוצרת סביבו. התסמינים השכיחים כוללים: כאבי ראש, סחרחורות, הקאות, פרכוסים וסימנים נוירולוגים ממוקדים.
הטיפול הראשוני המקובל ב-GBM כולל ניתוח להסרה מקסימלית של הגידול תוך פגיעה מינימלית באזורים תפקודיים.
GBM הוא סוג הגידול האגרסיבי ביותר, המתאפיין בפולשנות והתקדמות מהירה ועקב כך ההישרדות החציונית של החולים עומדת על כ-12-15 חודשים בלבד.
אפידמיולוגיה
מידי שנה מאובחנים בישראל כ-450 חולים חדשים עם גידולים ממאירים במערכת העצבים המרכזית. כ-80% מגידולים אלה הנם מסוג גליומה, כאשר GBM מהווה כ-50% מכלל הגליומות.
הסיכון ללקות ב-GBM עולה עם הגיל, בעיקר לאחר גיל 50, ושכיחותו גבוהה יותר בגברים מאשר בנשים.
אטיולוגיה
באחוז קטן של המקרים האטיולוגיה למחלה קשורה בתסמונות גנטיות המגבירות את הסיכון ללקות בה, כדוגמת:
- נוירופיברומטוזיס (Neurofibromatosis)
- תסמונת ון היפל לנדאו (Von Hippel-Lindau syndrome)
- תסמונת לי פראומני (Li-Fraumeni syndrome)
- טרשת קרשתית (Tuberous sclerosis)
קליניקה
גידולי מערכת העצבים המרכזית יכולים להתבטא בדרכים שונות, כתלות במיקום וגודל הגידול וכמות הבצקת הנוצרת סביבו. הסימפטומים השכיחים כוללים: כאבי ראש, סחרחורות, הקאות, פרכוסים וסימנים נוירולוגים ממוקדים. כמו כן, ייתכנו פגיעות תפקודיות וקוגנטיביות.
אבחנה
חולה המבטא תסמינים המחשידים לגידול במערכת העצבים המרכזית יופנה לביצוע בדיקת הדמיה - טומוגרפיה ממוחשבת (CT - Computed tomography) או דימות תהודה מגנטית (MRI - Magnetic resonance imaging). האבחנה הסופית של סוג הגידול מבוצעת על ידי בדיקה פתולוגית.
גידולי המוח הממאירים מסווגים בהתאם לתא המקור ולדרגת ממאירות הגידול על פי דירוג ארגון הבריאות העולמי. GBM הנו הגידול בעל דרגת הממאירות הגבוהה ביותר - דרגה 4 (Grade IV).
טיפול
הטיפול הראשוני המקובל ב-GBM כולל ניתוח להסרה מקסימלית של הגידול תוך פגיעה מינימלית באזורים תפקודיים, שמטרתו להגיע לאבחנה פתולוגית, להקל על תסמינים הקשורים בלחץ תוך גולגולתי מוגבר ולהפחית את הצורך בשימוש בסטרואידים, הכרוכים בתופעות לוואי משמעותיות. כך ניתן לשפר את הישרדות החולים.
לאחר הניתוח ניתן טיפול משולב של קרינה וכמותרפיה מסוג Temozolomide. לאחר הטיפול המשולב, ממשיכים במתן הכמותרפיה למספר מחזורים נוספים.
גידול מסוג GBM אינו בר ריפוי, ולאחר טיפול ראשוני המחלה מתקדמת. עד לאחרונה לא היה טיפול שהוכיח יעילות משמעותית בטיפול ב-GBM לאחר התקדמות המחלה. הטיפולים השונים השיגו שיעורי תגובה נמוכים מ-10% והישרדות חציונית של כ-6 חודשים בלבד.
השימוש ב-Avastin (Bevacizumab)
יעילות Avastin (Bevacizumab) ב-GBM לאחר התקדמות המחלה הודגמה במחקר ה-1BRAIN (Brain resuscitation advancement international network - 1), אשר כלל 167 חולי GBM עם התקדמות המחלה לאחר טיפול קודם אחד או יותר.
החולים חולקו אקראית ל-2 זרועות טיפול: Avastin כמונותרפיה ו-Avastin בשילוב עם Irinotecan. הטיפול עם Avastin הדגים תוצאות העולות משמעותית על אלה שהודגמו בעבר בחולים אלה: זמן הישרדות חציוני של כ-9 חודשים (9.2 עם Avastin בלבד, ו-8.7 עם Avastin בשילוב עם Irinotecan) ושיעורי תגובה של 28% (Avastin לבד) עד 38% (Avastin בשילוב עם Irinotecan). במעקב ארוך טווח אחר החולים הודגם כי כ-10% מהחולים שטופלו עם Avastin שרדו למשך 4 שנים ויותר.
ניתוח נוסף של הנתונים ממחקר זה (2,3) הדגים כי מתן Avastin הביא גם לשיפור במצב התפקודי והנוירוקוגניטיבי ולירידה בצריכת הסטרואידים, על תופעות הלוואי הכרוכות בהם.
פרוגנוזה
הגורמים המשפיעים על הפרוגנוזה של חולים עם גליומות בדרגת ממאירות גבוהה:
- הסוג הספציפי של הגידול בבדיקה פתולוגית
- גיל החולה
- מצבו התפקודי של החולה
- אופי התסמינים הנוירולוגים ומשכם
- היקף הכריתה הכירורגית האפשרית עבור הגידול
GBM הינו סוג הגידול האגרסיבי ביותר, המתאפיין בפולשנות והתקדמות מהירה. עקב כך, ההישרדות החציונית של החולים עומדת על כ-12-15 חודשים בלבד.
ביבליוגרפיה
- Friedman HS. Bevacizumab Alone and in Combination With Irinotecan in Recurrent Glioblastoma. J Clin Oncol. 2009 Oct 1;27(28):4733-40.
- Vredenburgh JJ. Corticosteroid use in patients with glioblastoma at first or second relapse treated with Bevacizumab in the BRAIN study. Oncologist. 2010;15(12):1329-34.
- Vredenburgh JJ. Abstract O-8707: Clinical assessment of corticosteroid use and neurocognitive function in patients with glioblastoma at first or second relapse treated with Bevacizumab in the BRAIN study. European Journal of Cancer, Supplements, Vol 7 No 2, September 2009, Page 495.
- Avastin Israeli MoH approved prescribing information.

כניסה
עקבו אחרינו בפייסבוק 